

At Dental Studio Mooroolbark, we offer Invisalign® as a discreet alternative for patients who want to straighten their teeth without traditional metal braces. Instead of brackets and wires, Invisalign® uses a series of clear, removable aligners that are designed to gradually guide teeth into improved alignment.
Each set of aligners is custom-made to fit the patient’s teeth and is worn for around two weeks before being replaced by the next set. Book a complimentary Invisalign consultation today with Dr Henry or Dr Daniel to discuss whether Invisalign® treatment may be suitable for your smile goals.

Invisalign is a modern orthodontic treatment that straightens teeth using a series of custom-made aligners instead of metal brackets and wires. Each aligner is carefully designed from digital scans of your teeth and applies pressure to gradually guide them into better alignment.Â
Invisalign is designed to improve several common smile concerns, such as:


At Dental Studio Mooroolbark, we combine years of dental experience with advanced Invisalign® technology to support precise and comfortable teeth alignment. Our team focuses on developing personalised treatment plans based on each patient’s individual smile goals.
We use high-precision 3D scanning and digital imaging to plan each stage of tooth movement carefully for Invisalign® treatment. The clear, removable aligners are designed for everyday convenience, allowing gradual adjustments while you continue with your normal routine, all within a friendly and calming clinic atmosphere.

Whether you’re looking for an orthodontist for kids or decided it’s time to invest in yourself – take the first step today and book a consultation with our braces and Invisalign dentists
Take the first step towards a straighter, healthier smile by booking your orthodontic consultation at Dental Studio Mooroolbark. Experience personalised care from our experienced dentists in a modern, comfortable, and supportive environment.
Â





All images and videos are shared with patient consent and are for general informational purposes only. Results, risks, and recovery times vary for each individual and should not be considered medical advice. For more information and considerations, please refer here.
Please reach us at info@tdsm.com.au if you cannot find an answer to your question.
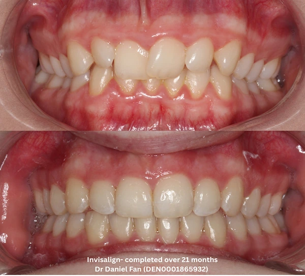
Treatment time varies depending on your individual needs, but most patients complete Invisalign in 12–18 months. Our dentist at Dental Studio Mooroolbark will provide a personalised timeline based on the complexity of your case and your smile goals
For best results, Invisalign aligners should be worn for around 22 hours per day. They should only be removed for eating, drinking anything other than water, brushing, and flossing.
Aligners can be cleaned by brushing them with a soft toothbrush and rinsing with lukewarm water. You may also use mild soap or special retainer cleaning tablets. However, avoid hot water or abrasive cleaners.
Yes, Invisalign aligners are removable, allowing you to eat, drink, or attend special events without them. However, they should only be removed temporarily, as consistent wear is essential for achieving the best results.
We proudly serve Mooroolbark, Montrose, Croydon, Lilydale, Chirnside Park, Kilsyth and surrounding suburbs